Encuentran muerto un lince ibérico en una cuneta de San Fernando de Henares San Fernando de Henares Encuentran muerto un lince ibérico en una cuneta de San Fernando de Henares
Veterinarios de la Complutense logran producir embriones de lince ibérico Ciencia Veterinarios de la Complutense logran producir embriones de lince ibérico
Confirmada la presencia de un lince en el noreste de Madrid Lince Ibérico Confirmada la presencia de un lince en el noreste de Madrid
Nuevo máximo histórico de linces en la península ibérica: 2.401 ejemplares en 2024 Animales Nuevo máximo histórico de linces en la península ibérica: 2.401 ejemplares en 2024
Dana, Inteligencia Artificial, narcolancha, Nadal, Trump... el año 2024 en 27 letras Nochevieja Dana, Inteligencia Artificial, narcolancha, Nadal, Trump... el año 2024 en 27 letras
Una segunda vida para los animales silvestres irrecuperables Animales Una segunda vida para los animales silvestres irrecuperables
El lince ibérico volverá a Madrid: se reintroducirá en el monte del Pardo Lince Ibérico El lince ibérico volverá a Madrid: se reintroducirá en el monte del Pardo
El lince ibérico ya no está en peligro de extinción Lince Ibérico El lince ibérico ya no está en peligro de extinción
El primer lince boreal que nació en la Península Ibérica en el último siglo está en Navas del Rey El primer lince boreal que nació en la Península Ibérica en el último siglo está en Navas del Rey 27/05/2024
Madrid reintroducirá próximamente el lince ibérico Madrid reintroducirá próximamente el lince ibérico 22/01/2024
La Comunidad de Madrid quiere reintroducir en 2024 el lince ibérico en la región La Comunidad de Madrid quiere reintroducir en 2024 el lince ibérico en la región 27/12/2023
Localizado un ejemplar de lince ibérico en Boadilla del Monte Localizado un ejemplar de lince ibérico en Boadilla del Monte 21/06/2023
Un vecino de Sevilla La Nueva graba la primera imagen de un lince en Madrid en 30 años El lince ibérico vuelve a Sevilla La Nueva 14/06/2023
El lince ibérico volverá a la Comunidad de Madrid en las zonas centro y suroeste El lince ibérico volverá a la Comunidad de Madrid en las zonas centro y suroeste 18/01/2023
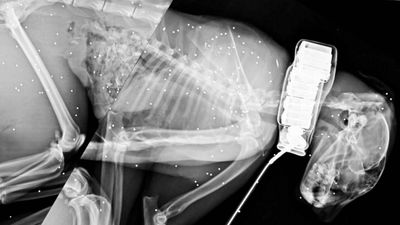
Asistimos a una intervención quirúrgica de un lince ibérico Asistimos a una intervención quirúrgica de un lince ibérico 14/10/2022