Los primeros niños ucranianos con cáncer ya están en Madrid para recibir su tratamiento Los primeros niños ucranianos con cáncer ya están en Madrid para recibir su tratamiento 12/03/2022
Llegan al Hospital Zendal los primeros 52 ucranianos procedentes de Cracovia Llegan al Hospital Zendal los primeros 52 ucranianos procedentes de Cracovia 11/03/2022
Madrid dará asistencia sanitaria en cuatro hospitales públicos a 28 niños de Ucrania con cáncer Madrid dará asistencia sanitaria en cuatro hospitales públicos a 28 niños de Ucrania con cáncer 11/03/2022
Un análisis de heces puede diagnosticar de manera temprana el cáncer de páncreas Un análisis de heces puede diagnosticar de manera temprana el cáncer de páncreas 09/03/2022
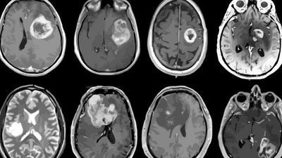
Logran eliminar por primera vez el cáncer cerebral más agresivo, el glioblastoma Logran eliminar por primera vez el cáncer cerebral más agresivo, el glioblastoma 09/03/2022
Remedios milagrosos contra el cáncer: así funciona este tipo de estafa Remedios milagrosos contra el cáncer: así funciona este tipo de estafa 05/03/2022
La invasión rusa sorprendía a la esposa de José Luis, un vecino de Orcasitas, en pleno tratamiento de cáncer La invasión rusa sorprendía a la esposa de José Luis, un vecino de Orcasitas, en pleno tratamiento de cáncer 28/02/2022